Перелом лучевой кости
Определение
Перелом лучевой кости — это повреждение одной из двух костей предплечья, которая проходит от локтя до запястья. Лучевая кость находится на стороне большого пальца, в то время как локтевая кость располагается с противоположной стороны. Переломы лучевой кости могут быть вызваны травмами, падениями или чрезмерными нагрузками и могут варьироваться по степени тяжести — от трещин до полных переломов.
Кому характерно
Клиническая картина
Симптомы перелома лучевой кости могут включать:
• Острую боль в области запястья или предплечья.
• Отек и покраснение в области травмы.
• Ограничение подвижности в суставе.
• Деформация или аномальное положение руки.
• В некоторых случаях может наблюдаться хруст при движении.
При переломах, связанных с падением на вытянутую руку, часто возникает так называемый «перелом Коллеса», который характеризуется типичным смещением фрагментов кости вверх и назад.
Диагностика
Диагностика перелома лучевой кости обычно начинается с клинического осмотра, во время которого врач оценивает симптомы и проводит физикальное обследование. Основным методом диагностики является рентгенография, которая позволяет визуализировать состояние кости и определить наличие перелома. В некоторых случаях может потребоваться компьютерная томография (КТ) для более детального изучения повреждений, особенно если есть подозрение на сложные переломы или сопутствующие травмы.
Хирургическое лечение
Лечение перелома лучевой кости зависит от типа и степени тяжести повреждения. Основные методы лечения включают: 1. Консервативное лечение: В большинстве случаев переломы лечатся без операции. Это может включать наложение гипса или шины для иммобилизации руки на срок от 4 до 8 недель. Также могут быть назначены обезболивающие препараты и противовоспалительные средства. 2. Хирургическое лечение: В случае сложных переломов или если фрагменты кости смещены, может потребоваться операция для их восстановления. Хирург может использовать металлические пластины или винты для стабилизации кости. 3. Реабилитация: После снятия гипса или завершения хирургического вмешательства важно провести курс реабилитации, который может включать физиотерапию для восстановления подвижности и силы в руке.
Перелом лучевой кости — это распространенная травма, требующая внимательного подхода к диагностике и лечению. Своевременная медицинская помощь и соблюдение рекомендаций врача способствуют успешному восстановлению и возвращению к нормальной активности.
Обратите внимание, что информация, предоставленная выше, не является заменой медицинской консультации. Пожалуйста, обратитесь к кистевому хирургу или специалисту для получения дополнительной информации о переломе лучевой кости и ее лечении.
Клинический случай: внутрисуставной перелом дистального метаэпифиза лучевой кости — до операции

18+
Медицинский контент
Нажмите для просмотра

18+
Медицинский контент
Нажмите для просмотра

18+
Медицинский контент
Нажмите для просмотра

18+
Медицинский контент
Нажмите для просмотра

18+
Медицинский контент
Нажмите для просмотра
18+
Медицинский контент
Нажмите для просмотра
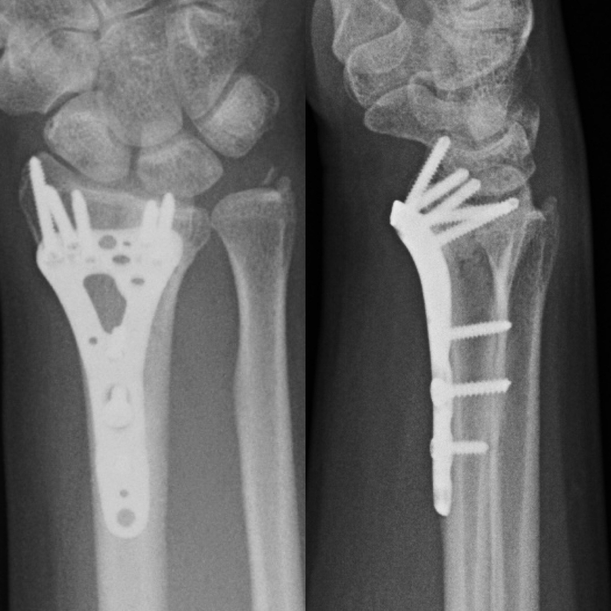
Клинический случай: внутрисуставной перелом дистального метаэпифиза лучевой кости — операция (остеосинтез пластиной)
Этап остеосинтеза: доступ, фиксация и контроль положения пластины.

18+
Медицинский контент
Нажмите для просмотра

18+
Медицинский контент
Нажмите для просмотра

18+
Медицинский контент
Нажмите для просмотра

18+
Медицинский контент
Нажмите для просмотра

18+
Медицинский контент
Нажмите для просмотра

18+
Медицинский контент
Нажмите для просмотра

18+
Медицинский контент
Нажмите для просмотра

18+
Медицинский контент
Нажмите для просмотра

18+
Медицинский контент
Нажмите для просмотра
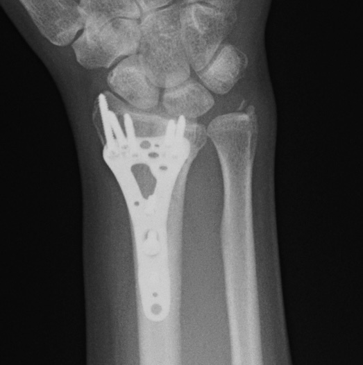
Клинический случай: внутрисуставной перелом дистального метаэпифиза лучевой кости — после операции
Контрольный осмотр и ранний послеоперационный результат.

18+
Медицинский контент
Нажмите для просмотра

18+
Медицинский контент
Нажмите для просмотра

18+
Медицинский контент
Нажмите для просмотра

18+
Медицинский контент
Нажмите для просмотра

18+
Медицинский контент
Нажмите для просмотра

18+
Медицинский контент
Нажмите для просмотра
Клинический случай: лечение перелома лучевой кости консервативно в ортезе
Этапы консервативного лечения и контроль восстановления функции в ортезе.

18+
Медицинский контент
Нажмите для просмотра

18+
Медицинский контент
Нажмите для просмотра

18+
Медицинский контент
Нажмите для просмотра

18+
Медицинский контент
Нажмите для просмотра

18+
Медицинский контент
Нажмите для просмотра

18+
Медицинский контент
Нажмите для просмотра

18+
Медицинский контент
Нажмите для просмотра
Клинический случай: перелом диафиза лучевой кости
Клинический случай с повреждением диафиза лучевой кости и последовательным контролем состояния.

18+
Медицинский контент
Нажмите для просмотра

18+
Медицинский контент
Нажмите для просмотра

18+
Медицинский контент
Нажмите для просмотра

18+
Медицинский контент
Нажмите для просмотра

18+
Медицинский контент
Нажмите для просмотра

18+
Медицинский контент
Нажмите для просмотра

18+
Медицинский контент
Нажмите для просмотра

18+
Медицинский контент
Нажмите для просмотра

18+
Медицинский контент
Нажмите для просмотра

18+
Медицинский контент
Нажмите для просмотра

18+
Медицинский контент
Нажмите для просмотра

18+
Медицинский контент
Нажмите для просмотра

18+
Медицинский контент
Нажмите для просмотра