Перелом пястных костей
Определение
Переломы пястных костей — это травмы, которые затрагивают пять длинных костей, соединяющих запястье с пальцами руки. Пястные кости играют важную роль в обеспечении подвижности и функциональности кисти. Эти переломы могут возникать в результате прямого удара, падения на руку или чрезмерных нагрузок.
Кому характерно
Клиническая картина
Симптомы переломов пястных костей могут варьироваться в зависимости от типа и степени тяжести повреждения. Основные проявления включают:
• Острую боль в области кисти или пясти.
• Отек и покраснение в месте травмы.
• Ограничение подвижности пальцев и кисти.
• Деформация или аномальное положение кисти.
• Возможное появление синяков.
При переломах пястных костей может наблюдаться также хруст или щелчки при движении. Важно отметить, что некоторые переломы могут быть скрытыми, и их симптомы могут проявляться не сразу.
Диагностика
Переломы пястных костей диагностируются с клинического осмотра, во время которого врач оценивает симптомы и проводит физикальное обследование. Основным методом диагностики является рентгенография, которая позволяет визуализировать состояние костей и выявить наличие перелома. В некоторых случаях может потребоваться компьютерная томография (КТ) для более детального изучения повреждений, особенно если есть подозрение на сложные или нестандартные переломы.
Хирургическое лечение
Лечение переломов пястных костей зависит от типа, локализации и степени тяжести повреждения. Основные методы лечения включают: 1. Консервативное лечение: В большинстве случаев переломы лечатся без операции. Это может включать наложение гипса или шины для иммобилизации кисти на срок от 4 до 6 недель. Также могут быть назначены обезболивающие препараты и противовоспалительные средства для уменьшения боли и отека. 2. Хирургическое лечение: В случае сложных переломов или если фрагменты кости смещены, может потребоваться операция для их восстановления. Хирург может использовать металлические пластины, винты, спицы или другие устройства для стабилизации кости. 3. Реабилитация: После снятия гипса или завершения хирургического вмешательства важно провести курс реабилитации, который может включать кистевую терапию, физиотерапию для восстановления подвижности и силы в кисти.
Переломы пястных костей — это распространенные травмы, требующие внимательного подхода к диагностике и лечению. Своевременная медицинская помощь и соблюдение рекомендаций врача способствуют успешному восстановлению и возвращению к нормальной активности.
Обратите внимание, что информация, предоставленная выше, не является заменой медицинской консультации. Пожалуйста, обратитесь к кистевому хирургу или специалисту для получения дополнительной информации о переломе пястной кости и ее лечении.
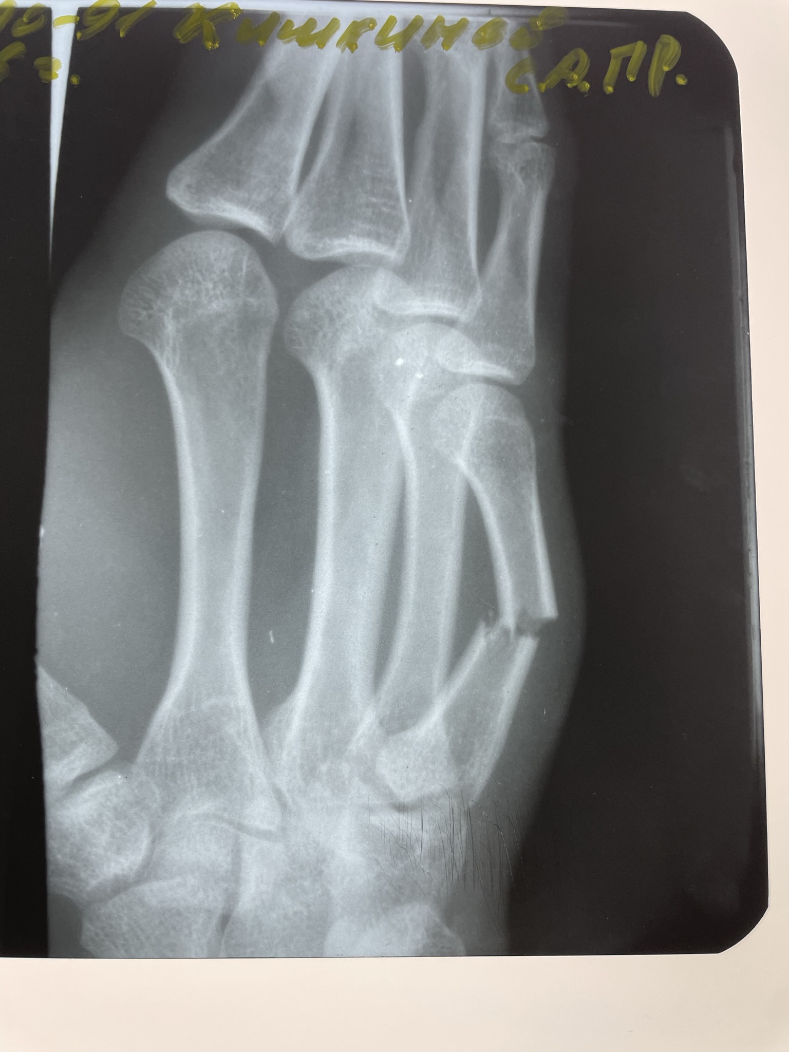
До операции
Пациент с переломом 5 пястной кости по типу «боксёрского» удара. На фото и видео — деформация и ограничение функции до вмешательства.
18+
Медицинский контент
Нажмите для просмотра
18+
Медицинский контент
Нажмите для просмотра
18+
Медицинский контент
Нажмите для просмотра
18+
Медицинский контент
Нажмите для просмотра
18+
Медицинский контент
Нажмите для просмотра
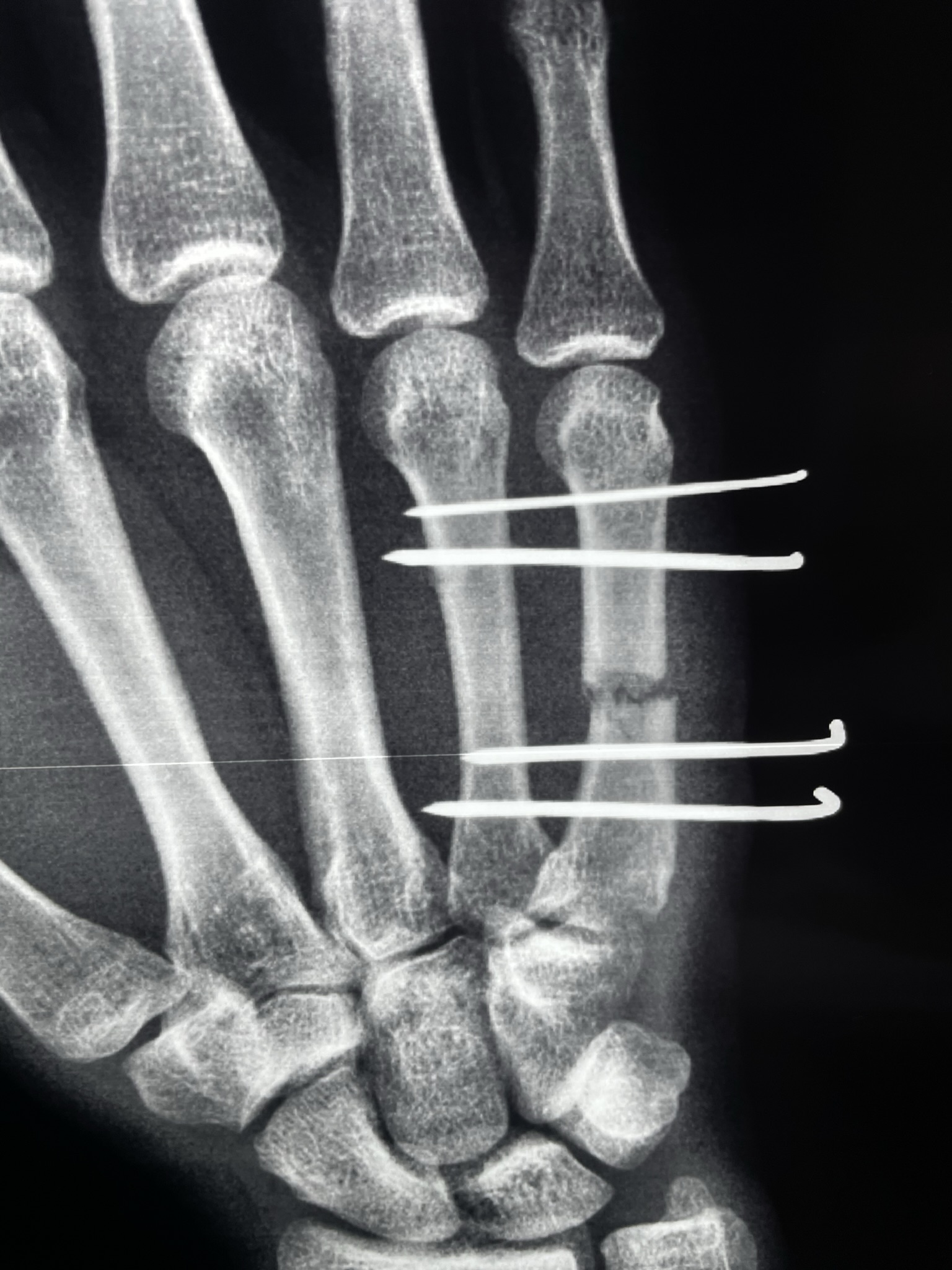
После операции
Проведена закрытая репозиция с фиксацией спицами. Отдельно задокументированы ранний послеоперационный период и восстановление функции.
18+
Медицинский контент
Нажмите для просмотра
18+
Медицинский контент
Нажмите для просмотра
18+
Медицинский контент
Нажмите для просмотра
18+
Медицинский контент
Нажмите для просмотра
18+
Медицинский контент
Нажмите для просмотра
18+
Медицинский контент
Нажмите для просмотра
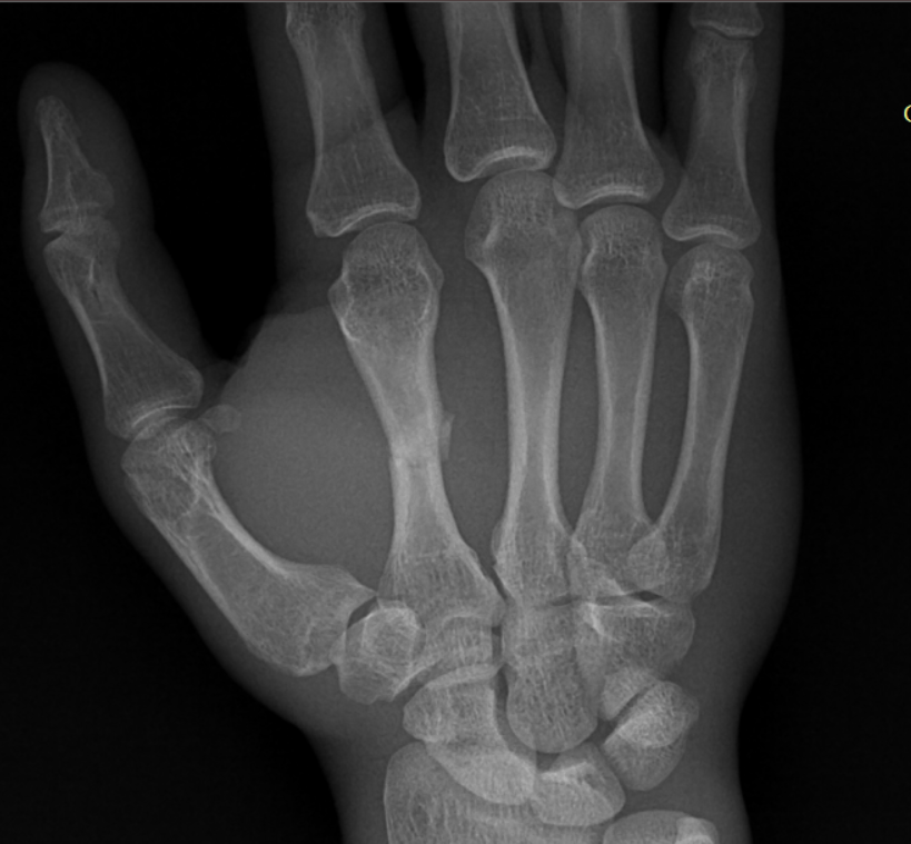
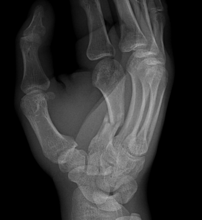
Клинический случай: остеосинтез перелома 2 пястной кости — до операции
Пациент с нестабильным переломом 2 пястной кости. Документируем боль, отёк и ограничения движений перед оперативным лечением.

18+
Медицинский контент
Нажмите для просмотра

18+
Медицинский контент
Нажмите для просмотра
18+
Медицинский контент
Нажмите для просмотра
18+
Медицинский контент
Нажмите для просмотра
18+
Медицинский контент
Нажмите для просмотра
Клинический случай: остеосинтез перелома 2 пястной кости — во время операции
Выполнена репозиция и фиксация пластиночной системой. Фото демонстрируют этапы доступа и установки пластины.

18+
Медицинский контент
Нажмите для просмотра

18+
Медицинский контент
Нажмите для просмотра

18+
Медицинский контент
Нажмите для просмотра

18+
Медицинский контент
Нажмите для просмотра
Клинический случай: остеосинтез перелома 2 пястной кости — после операции
Контрольный этап: оценка ран, рентген-результаты и демонстрация восстановления движений после остеосинтеза.

18+
Медицинский контент
Нажмите для просмотра

18+
Медицинский контент
Нажмите для просмотра

18+
Медицинский контент
Нажмите для просмотра

18+
Медицинский контент
Нажмите для просмотра

18+
Медицинский контент
Нажмите для просмотра
18+
Медицинский контент
Нажмите для просмотра
18+
Медицинский контент
Нажмите для просмотра
Клинический случай: остеосинтез перелома 2 пястной кости — лечение в ортезе
Этап ортезотерапии: фиксирующая повязка и постепенное увеличение объёма движений под контролем врача.

18+
Медицинский контент
Нажмите для просмотра

18+
Медицинский контент
Нажмите для просмотра

18+
Медицинский контент
Нажмите для просмотра